
A man accidentally discovered he has a very rare penile condition after being hospitalized for a completely unrelated issue.
A 2019 case report looked into the ordeal where a 63-year-old man was taken to hospital after suffering a fall.
The man had fallen onto his backside and was left with knee pain, so he sought medical attention.
Advert
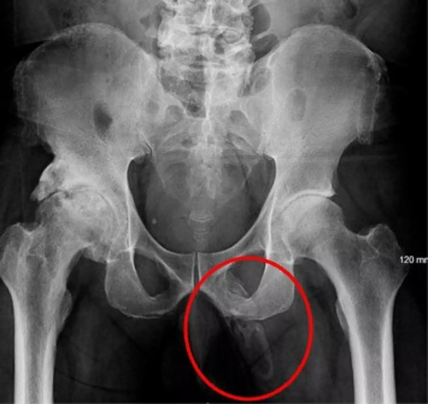
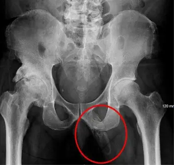
As per the Urology Case Report, the man's 'physical exam was negative except for a penile pain', sparking him to undergo an x-ray 'to rule out any fracture showed a severe, asymmetric degenerative changes of the right hip'.
But doctors discovered something unexpected when the results of the scan came back, and it turned out it had nothing to do with the man's hip.
The patient went on to be diagnosed with penile ossification - an extremely rare condition with fewer than 40 cases reported.
Advert
Penile ossification occurs when calcium salts build up in the soft tissue of the penis, forming extraskeletal bone.
Many of the few reported cases have been linked to Peyronie’s disease (a condition when your penis curves when erect).
Other causes include trauma, end stage renal disease, syphilis, gonorrhea and metabolic disorders like gout and diabetes, as per a 2013 report by Noor Khan Lakhnana and Naghmi Asif.

Advert
End stage kidney disease is also believed to be a potential cause.
Despite medical advice, the man left without treatment. No laboratory investigation, histological examination, or follow-up was done either.
As well as this case, there's another reported instance of someone being diagnosed with penile ossification that involved a five-year-old boy.
This case 'was associated with other congenital anomalies such as cleft scrotum' said Khan Lakhnana and Asif.
Advert

"Peyronie’s disease has been described as the most common cause for ossification of the penis," the pair further explained.
"It is not well understood what initiates the ossification. Probably fibrosis starts initially and this with continuous stimulation leads to proliferation and metaplasia. Diagnosis is confirmed on radiological and histopathological findings."
The earliest report of the condition is believed to date back to the 1800s.
Advert
Treatment for penile ossification largely depends the extent of calcification and symptoms.
Some therapies include penile traction therapy, injectable medications, mechanical stretching or vacuum devices, as well as extracorporeal shockwave therapy (a treatment that uses acoustic shockwaves).