
Have you ever heard about the curious case of the man who survived with a shockingly small brain?
No, it's not your ex, but he is a medical marvel, with scientists discovering that despite his abnormally small brain, the middle-aged man was thriving.
We guess size really doesn't matter...

Advert
The man was studied by a group of scientists at the Mediterranean University in Marseille, France in 2007 with their findings being published in The Lancet, a respected medical journal.
Leading the study was Dr. Lionel Feuillet, MD who with the help of Henry Dufour, Ph and Jean Pelletier, Ph.D., presented one of the strangest neurological case studies to date.
The team explained how the then 44-year-old French man had presented with a two-week history of mild left leg weakness.
Aside from this, he was fine, working as a civil servant and a happily married man with two children.
Advert

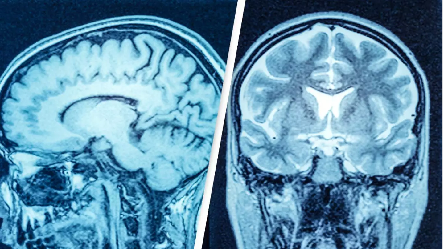
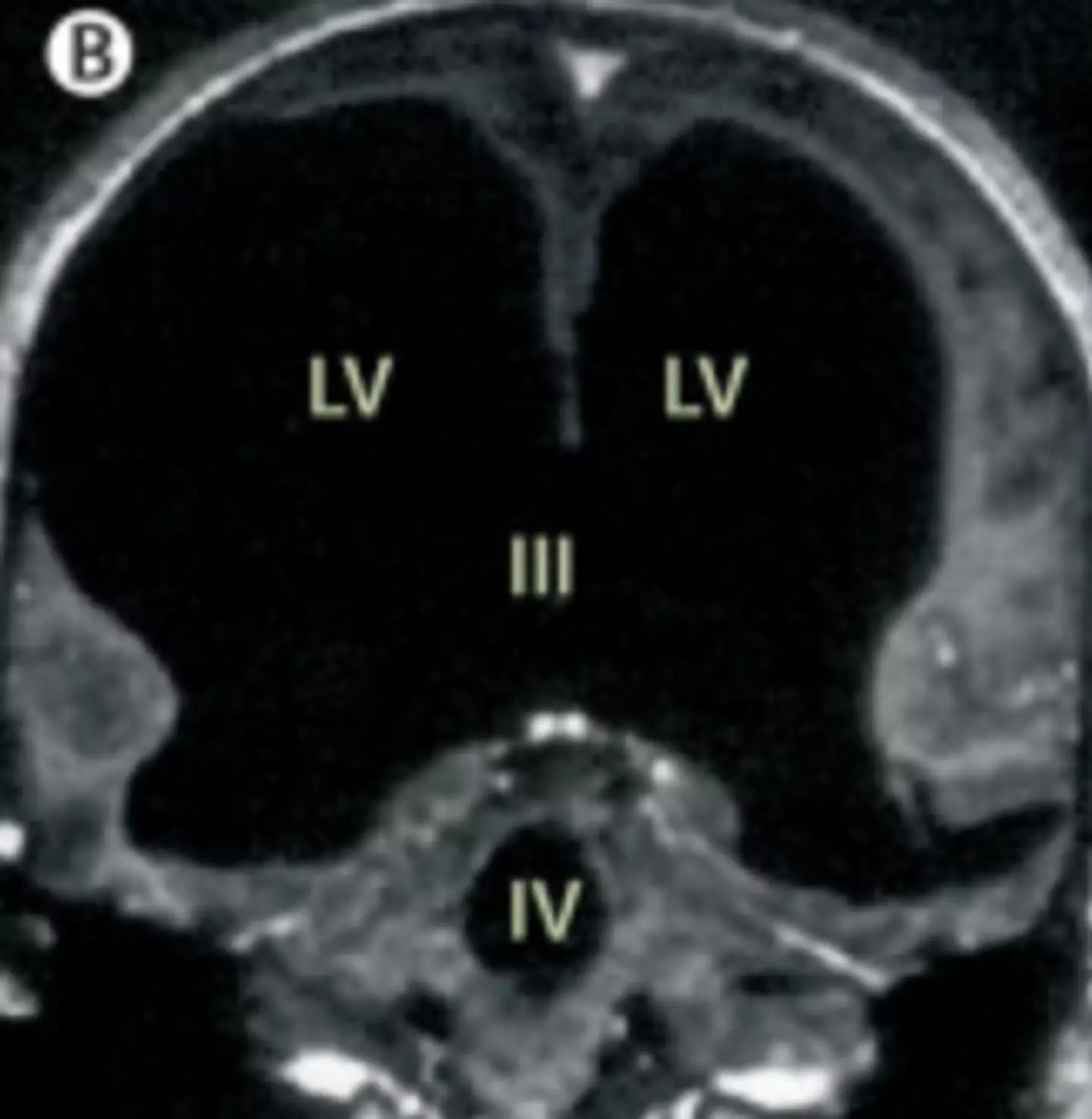
So, when doctors scanned his brain to access the cause of his unexplained leg weakness, they were surprised to find that he had an enormous fluid-filled chamber.
While the brain is normally surrounded by fluid, it drains down through the body.
However, this man's brain fluid built up, which left him with a massive deposit of liquid and very little brain matter.
Advert
The doctors learned that the man had a condition called Hydrocephalus, a build-up of fluid in the brain; he actually had a shunt placed inside his head at just six years old to drain the fluid, but it was removed when he turned 14.
Despite this, after testing the man's IQ the team found that it was 75 points lower than the average (100), but he was still able to live a normal life.
Speaking about the case, Feuillet confirmed that the fluid buildup had led to a significant reduction in brain matter: "It is hard for me [to say] exactly the percentage of reduction of the brain, since we did not use software to measure its volume. But visually, it is more than a 50 to 75 percent reduction.

Advert
"The whole brain was reduced – frontal, parietal, temporal, and occipital lobes – on both left and right sides. These regions control motion, sensibility, language, vision, audition, and emotional and cognitive functions," Feuillet went on to tell New Scientist.
The study goes to show how adaptable the brain is, with the scientist adding that 'the brain is very plastic and can adapt to some brain damage occurring in the pre-and postnatal period when treated appropriately'.
And that's one of the most interesting things we'd heard all week.
Topics: Science, News, Technology, Viral, Life